Hírek
2018. November 05. 09:54, hétfő |
Külföld
Forrás: mti - illusztráció
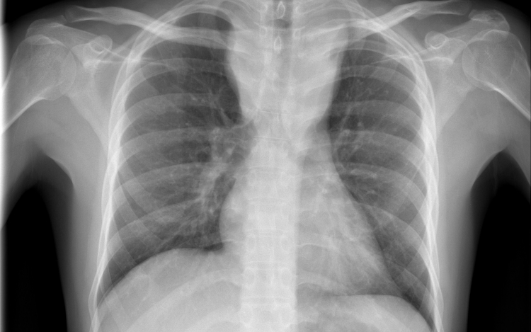
Tüdőrákban halt meg egy szervátültetett, aki egy erős dohányos tüdejét kapta meg
Tüdőrákban halt meg a transzplantáció után másfél évvel egy francia nő, akibe egy hajdan erős dohányos nő tüdejét ültették át.
A Lunc Cancer szakfolyóiratban megjelent tanulmány szerint az 57 évesen elhunyt donor 30 éven át napi egy doboz cigarettát szívott el.
A gyermekkora óta cisztás fibrózisban szenvedő páciens 2015 novemberében kapta meg a sokáig erősen dohányzó nő tüdejét, 2017 júniusában pedig bekerült a montpellier-i egyetemi klinikára, ahol két hónappal később elhunyt tüdőrákban, anélkül, hogy bármiféle terápiát alkalmazhattak volna nála. A tanulmány szerint a páciens a dohányzás okozta tüdőrák jellegzetes tüneteit mutatta.
A transzplantáció és a tüdő első rendellenességeinek röntgen általi észlelése közti rövid idő arra utal, hogy a tüdőrák már a donornál keletkezett, a szervkilökődés megakadályozására szedett immungyengítő gyógyszerek pedig csak felgyorsították a kifejlődését.
A tüdőrák hosszú lappangási idejére tekintettel a kutatók különleges elővigyázatosságot ajánlanak a dohányzó donoroktól származó szervek átültetésénél olyan esetekben, amikor a donor csak nem sokkal a transzplantáció előtt hagyott fel a dohányzással.
Ezek érdekelhetnek még
2026. Február 03. 07:22, kedd | Külföld
Donald Trump: India beleegyezett, hogy leállítja az orosz kőolaj vásárlását
Donald Trump amerikai elnök szerint India miniszterelnöke hétfői telefonbeszélgetésük során beleegyezett az orosz kőolaj vásárlásának leállításába, és helyette több energiahordozót szerez be az Egyesült Államokból.
2026. Február 02. 10:00, hétfő | Külföld
Donald Trump: Venezuela komoly bevételhez jut majd az Egyesült Államok révén eladott, onnan szármaszó kőolajból
Venezuela komoly bevételhez jut majd az Egyesült Államok révén eladott, onnan szármaszó kőolajból, de a bevételen megosztozik a két ország – jelentette ki Donald Trump amerikai elnök vasárnap.
2026. Január 30. 07:06, péntek | Külföld
Donald Trump: az orosz elnök beleegyezett abba, hogy egy hétig nem löveti Kijevet a hideg idő miatt
Vlagyimir Putyin orosz elnök beleegyezett abba, hogy egy hétig nem löveti Kijevet a hideg időjárásra tekintettel - jelentette ki Donald Trump amerikai elnök.